Da sempre i bambini sono i benvenuti nello studio dentistico Del Monaco.
A loro ci dedichiamo con passione e dolcezza, affinché possano sentirsi a proprio agio e vivere la visita odontoiatrica come un momento piacevole.
I consigli per una corretta prevenzione dentale
Una corretta igiene orale, unita a salutari abitudini alimentari, permette di salvaguardare la salute dentale del piccolo paziente a partire dai denti decidui (da latte) fino alla dentatura definitiva.
A questo proposito, forniremo al bambino e ai genitori le informazioni relative alle regole di prevenzione e rimozione della placca batterica e al corretto utilizzo dello spazzolino, verificando progressivamente, durante le sedute di controllo, lo stato di salute di denti e gengive.
In caso di bambini particolarmente recettivi alla carie, consigliamo il test della saliva
per studiarne le caratteristiche (pH, flora batterica e flusso) e poi poter stilare un programma di prevenzione specifico ed individuale, atto a seguire il piccolo paziente, sostenendolo con misure attuabili in studio e suggerimenti da seguire a casa, come la Fluoroprofilassi, la Sigillatura
e l'igiene orale domiciliare.

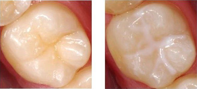
Sigillatura molari e denti compromessi
La Sigillatura dei molari
permanenti rappresenta una valida strategia difensiva contro la carie pediatrica ed è attuabile, laddove necessario, anche sui denti decidui.
La superficie masticatoria dei molari presenta dei solchi profondi, nei quali la placca batterica si annida facilmente rendendo difficoltose e spesso insufficienti le manovre quotidiane d’igiene orale.
I molari sono i denti maggiormente esposti al rischio di lesioni cariose precoci, ecco che l'applicazione di una resina speciale lungo i solchi masticatori permette di proteggerne lo smalto, rendendolo inattaccabile dalla placca batterica.
L'effetto protettivo della sigillatura può durare diversi anni: una nuova applicazione si rende necessaria quando la resina è consumata.
Qualora invece i denti dei vostri bambini siano già compromessi, presso lo studio dentistico Del Monaco si effettuano interventi di cure odontoiatriche per il recupero dell'elemento dentale deciduo.
Questo è molto importante per mantenere gli spazi adeguati ad accogliere i denti definitivi, evitando successivi problemi di affollamento dentale e le conseguenti alterazioni dell’occlusione, intervenendo, quando necessario, anche con la devitalizzazione sui denti “da latte”.





